"

2 CarResp Case #1307: Paul Griner (Media)

PHYSICAL EXAM:

General appearance: On examination, Mr. Griner is a stocky White man wrapped in a blanket and shivering.

VS: Pulse 95, BP 135/55, respirations 22, Temp 38.5°C, height 170 cm (5 ft. 7 in), weight 92 kg (203 lb.);  BMI 31.8.

HEENT: There is no tenderness over the sinuses. Tympanic membranes are gray. Cornea and sclerae are clear; fundoscopic exam reveals no Roth spots. Gums are red, swollen, and one shows a little blood. An upper molar on the right is tender to pressure with a tongue blade. Gag reflex is positive.

 

Neck: There is no adenopathy.  Neck veins are flat.  Carotids have normal upstroke and amplitude.

Lungs: Clear breath sounds with no dullness to percussion and no egophony.

Heart: The point of maximal impulse (PMI) is displaced laterally and is hyperdynamic. Shortly after S1, a loud click is heard followed by a 3/6 plateau-quality late systolic murmur that obscures S2 and radiates toward the base of the heart.  After he stands from a squat, the murmur becomes holosystolic and the click merges with S1.  There are no gallops, rubs, or diastolic murmurs.

Abdomen: Liver is nontender and nonpulsatile; abdomen is protuberant, soft, and nontender with normoactive bowel sounds.  The spleen tip is palpable at the left costal margin.

GU/rectal: Unremarkable.

Extremities: Warm and well-perfused with no cyanosis, clubbing, or edema.

Neurologic: He is oriented x 3 but he has mild weakness and clumsiness of the left hand.  When asked, he tells you his hand has been giving him problems during the last week.

Skin: There are splinter hemorrhages under several fingernails and toenails, and a raised, red, tender nodule (Osler’s node) on the tip of the left forefinger.

 

Modified Duke Criteria

Consider how each of the criteria for diagnosis of infective endocarditis reflects an aspect of either microbial pathogenesis and/or a manifestation of host response at the cardiac and systemic levels.

Amy wants to understand what has been happening with Mr. Griner that caused his condition to decline recently.  Are all these findings related?

A transesophageal echocardiogram (TEE), repeat EKG, and a Panorex of the teeth are recommended for the next morning.  In the setting of probable infective endocarditis, the Cardiology consult team recommends continuous cardiac rhythm monitoring.  As he awaits his additional testing, Mr. Griner is wondering what an infection could do to his heart valve and how the TEE might show this.

View Pathology and the Echocardiography Videos
An image of the atrio-ventricular plane showing the 4 valves. Left panel, during diastole. Right panel, during systole. Note that each LV papillary muscle attaches to both mitral valve leaflets. Each is centered at a commissure (AC-Anterior Commissure, PC-Posterior Commissure), and each has chordae to both cusps. CA-Coronary Artery (which one?); CS-Coronary Sinus; AL-Anterior Leaflet; PL-Posterior Leaflet; The A(n) and P(n) number the portions of the mitral valve leaflets. You do not need to be able to identify them. xFT=R & L Fibrous Trigone; HB-His Bundle.

Mitral Valve Prolapse – 1

Mitral Valve Prolapse – 2

Staph Aureus Endocarditis

Infective Endocarditis – 1

Infective Endocarditis – 2

Posterior leaflet mitral valve prolapse in a parasternal long-axis view

Both mitral valve leaflets are thick and dysplastic, both prolapse into the left atrium, and portions of both leaflets “flail”.  That is, their tips point toward the left atrium implying broken mitral chordae.  The patient has severe mitral regurgitation (again, no doppler), has excellent left ventricular function, and is asymptomatic.

 

Severe bileaflet mitral valve prolapsein a parasternal long axis view

(Note from Helen: there are several ways to embed videos using H5P, I created two different versions for us to discuss. I didn’t add in the rest of the videos.)

Treatment with IV vancomycin and low-dose gentamicin is begun after 2 more sets of blood cultures are quickly sent. Mr. Griner wants to know why he has to have so many blood cultures drawn.

In the morning, Mr. Griner reports feeling a little better. The initial blood cultures are found to be growing Gram-positive cocci in pairs and chains.

Amy wants to practice her microbiology knowledge and guess what the bacteria are based on the Gram stain and the morphology. She asks you whether heart valves are always infected with the same organism. In the meantime, Mr. Griner asks why he needs to be on two antibiotics.  “Wouldn’t just one antibiotic do the job?” he asks.

The Panorex shows a peri-apical abscess. A cardiothoracic surgery consult is called, but the surgeon sees no reason to consider surgery yet. She recommends that Mr. Griner see a dentist and have a TEE to exclude mechanical complications such as perivalvular abscess to help guide decision-making regarding possible valve surgery.

Amy, now checking on Mr. Griner out of curiosity, asks what would be an indication for valve surgery in the setting of infective endocarditis.

Rigors recur that evening with a Tmax of 38.7°C. Beyond the persistent fever, Mr. and Mrs. Griner are worried about the potential for valve surgery.  Mr. Griner says “When I was first diagnosed with prolapse, I would take antibiotics before going to my dental appointments, but I was told a few years ago by my doctor that this was no longer necessary.  Could I have prevented this from happening if I had kept taking antibiotics?  What else could I have done?”

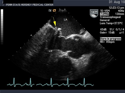
The TEE shows a small, oscillating (mobile) vegetation on the mitral valve with a small adjacent leaflet perforation but no abscesses. It is otherwise similar to the transthoracic study.

A still frame of anterior leaflet mitral valve prolapse in a transesophageal long-axis view.

Over the next few days, his fevers and rigors subside, and after 3 days, new daily blood cultures are sterile. Final identification of the bacterium was an alpha-hemolytic viridans streptococcus sensitive to penicillin G. Antibiotics are changed to penicillin G intravenously.  A peripherally-inserted central catheter (PICC) is placed, and Mr. Griner is discharged, to get a total of 4 weeks of antibiotics.  An oral surgeon reviewed the Panorex and had to extract one tooth which was abscessed.  She found severe gingivitis on oral exam and recommended regular brushing and flossing daily. She helps Mr. Griner schedule routine dental visits every 6 months.

 

Pathophysiology Images

 

Echo Images

 

Peri-apical Abscess Formation

The pathophysiology of progression to a periapical abscess: A, normal tooth; B, cavity formation; C, extension into dentin; D, pulpitis; E, apical periodontitis; F, advanced apical periodontitis. Courtesy Radiographic Society of North America; Journal RadioGraphics

License

College of Medicine Problem-Based Learning Activities Copyright © by huh162. All Rights Reserved.